目黒リリー歯科・矯正歯科|目黒の歯医者・マウスピース矯正
〒153-0063 東京都目黒区目黒2丁目8-10 K-TREE目黒1F
tel.
03-6420-0221
WEB予約
MENU
ホーム
HOME
スタッフ紹介
DOCTOR
クリニック案内
CLINIC
当院のマウスピース矯正の特長
マウスピース型装置
(インビザライン)の種類
マウスピース矯正とは
マウスピース矯正の
メリット・デメリット(注意点)
マウスピース矯正の流れ
診療案内
MEDICAL
診療案内
診療案内
大人の矯正
子どもの矯正
歯科ドック(包括的診断)
セカンドオピニオン
精密根管治療
審美治療・ホワイトニング
噛み合わせ治療・顎関節症
インプラント
口腔外科・親知らず
予防歯科(クリーニング)
料金表
FEE
アクセス
ACCESS
お知らせ
NEWS
ブログ
BLOG
WEB予約
50代女性前歯部失活による色調、形態の審美治療
目黒リリー歯科・矯正歯科|目黒の歯医者・マウスピース矯正
電話
WEB予約
ホーム
›
症例集
›
50代女性前歯部失活による色調、形態の審美治療
症例紹介
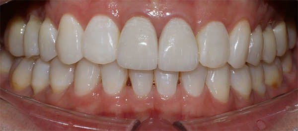
50代女性前歯部失活による色調、形態の審美治療
術前
術後
治療内容
全体オフィスホワイトニングでトーンアップ、前歯部プレミアムジルコニアクラウンにて補綴治療しました
治療期間・回数
3週間 オフィスホワイトニング2回、補綴治療2回 計4回
費用
※自由診療 総額 460000円 (オフィスホワイトニング3万×2 プレミアムジルコニアクラウン1本20万×2)
リスク・副作用
しみ、知覚過敏、補綴物脱落、補綴物破損
症例一覧へ戻る
TOP